뇌종양은 최근에
들어서 많은 사람들이
걸리고 급증하고 있다
특히 스트레스를 많이 받는
직장인이나 유명인들과
학생들도 종종 걸리고 있다
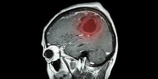
뇌종양은 뇌 조직안에
세균들이 침입하여
뇌속에서 염증을
만들고 고름을 만들어
뇌종양을 생기게 한다

뇌종양의 크기가 커지면 커질수록
뇌안에서 압박이 생기고 늦을수록
치사율은 다른 암보다 치명적이다
제일 중요한것은 조기 치료이다
그러므로 초기 증상에 적합 하다면
바로 병원으로 가야 한다
1. 두통과 구토증세
종양이 커지면서 뇌
안에있는 압력이 커지고
두통이 생기며 구토를 하게 되는데
보통 일반 사람들이
느끼는 두통과
증상과 비슷해 보이지만
몇가지의 다른 특징들이 있다
뇌종양의 두통인 경우에는
새벽에 특히 심하고
자고 일어나도 푹쉬어도

지속적으로 아프며
구토는 두통과 함께
나타나는 경우가 있다
따라서 두통과 구토가 동반이
될때 뇌 정밀검사를 바로 받아야 하며 이
증상이 나타난다고 해서 많이 늦지는 않기에
치료가 시기가 적합하다
2. 시력이 저하가 된다
시력이 잘 보이지가
않고 한개의 물체가
두개로 나뉘어서 보이거나 그림자가 보이거나
흐릿하거나 비정상적으로
거울이나 바로 옆에있는
사람 조차도 잘보이지가 않을수 있다
이 또한 뇌종양이 커지면서
뇌를 압박해서 나오는
증상이다

3. 팔과 다리의 마비 증세
뇌종양이 커지면서 신경을
비정상으로 만들게 되고
마비 증상이 온다 뇌의
압박 부위에 따라서
신경의 마비가 다양하게
오는데 언어를 주관하는
신경을 건드리게 되면 말이
어눌해지고 말이 헛나오며
운동을 주관하는 신경을
건드렸을때는 제대로 움직이지
못하게 된다
4. 후각 기능이 저하가 된다
뇌종양 환자의 50% 정도는
중이염과 축농증에서
염증이 커지면서 시작이 된다
만약 뇌종양이
후각 신경을 건드리게 되고
종양이 생기면
후각을 잃을수 있는 확률은 100% 이다
하지만 많은 환자들이
축농증이라서 중이염이라서
다르게 생각하는 경우가
많아서 치료시기를
놓치게 된다

5. 간질과 발작
뇌종양이 뇌를 자극하면서
간질과 발작이
일어나게 되는데 뇌종양인걸 간과하게 되면
일상 생활을 하다가도 추가적인
외상을 입을수가 있다
실제로 뇌종양을 앓고 있는
환자가 외상을 입게
되어서 운전중 사망하거나
길에서 쓰러져 부딪쳐서
사망하는 경우가 많다

뇌종양의 초기 발견
뇌종양이라고 해서 전부
악성은 아닐수도 있다
흔히들 알고 있는
뇌수막염이 있는데
종양의 크기와 위치를 보고
꼭 수술이 필요하지
않을수도 있다
만약에
뇌하수체 종양이라면
여성의 경우
생리가 없어지게 된다
남성이라면
성기능 장애 무기력이 생기게 된다
정말 다행인것이 초기에 발견하게 되면
거의 완치가 가능하므로
절망하지 않아도 된다
'유튜브' 카테고리의 다른 글
| 사랑의 불시착 촬영지와 시청률은 ? (0) | 2020.01.05 |
|---|---|
| 항문 가려움의 원인과 증상 치료법까지 (0) | 2020.01.02 |
| 췌장암 초기 증상 및 생기는 이유 정리 (0) | 2020.01.02 |
| 대장암 초기 증상 확실한 원인과 증상 (0) | 2019.12.31 |
| 아포칼립토 나오는 고통들은 얼마나 클까? (0) | 2019.11.18 |
